Composite Bonding

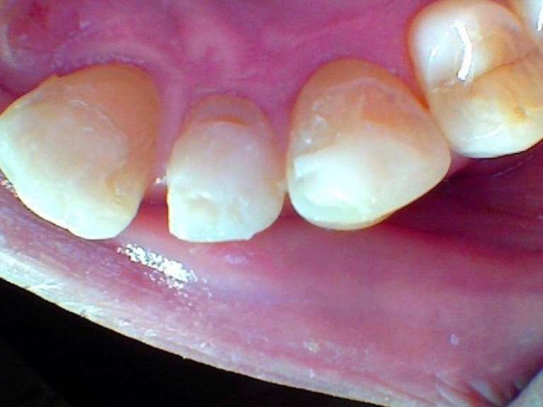
Composite dental bonding at our Hawthorne, CA, dental office is a conservative and affordable treatment that enhances your smile's aesthetics with a minimally invasive solution. The tooth-colored material we use is called composite resin, which mimics the appearance of dental enamel to blend seamlessly with your smile.
A Naturally Seamless Smile
Once we expertly apply it to your tooth, even you won't be able to detect where the repair meets your tooth. Dr. Michael Hoang, DMD, uses only Omnichroma composite because it allows him to perfectly match the material to your tooth shade for a flawless appearance.
Composite dental bonding addresses several minor cosmetic issues:
- Chipped or cracked teeth
 - Discoloration that doesn’t respond to whitening
 - Gaps between teeth
 - Oddly shaped teeth
 - Tooth size discrepancies
 
