Dr. Michael Hoang, DMD
Dr. Michael Hoang
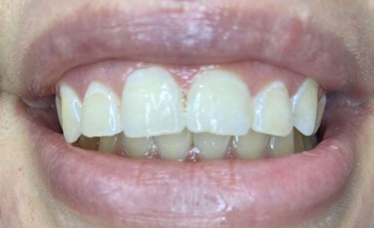
Teeth Whitening
You Deserve a Bright, White Smile!

Our professional teeth whitening treatments are safe and deliver superior results to store-bought products.

Teeth Whitening | Dentist
Are You Ready to See Your Brightest Smile?
Book an Appointment

Teeth Whitening

A bright, white smile can boost your confidence and affect how others perceive you. First impressions matter, and a radiant smile can speak volumes before you say a word. At Dr. Michael Hoang, DMD, we understand how stained, discolored, or yellow teeth can impact your social and professional life. That's why we offer advanced teeth whitening solutions to help restore your smile's natural brilliance.

How Teeth Whitening Works

Whitening is a simple yet effective cosmetic dental procedure for removing tooth stains and discoloration. The process involves applying a whitening agent that penetrates the enamel to break down the discolored molecules, leaving you with a brighter, whiter smile. 

Benefits of Teeth Whitening with Your Dentist

Dr. Mike is the most qualified person to recommend a teeth whitening regimen that will be effective for you. After all, he knows the ins and outs of your dental health! Let us know if you want a whiter smile, and we will review your options.

Better Overall Results

Store-bought whitening kits can result in a blotchy-looking smile or underwhelming results. Professional teeth whitening can brighten your teeth by many shades in a shorter time.

Less Tooth Sensitivity

Because Dr. Mike knows if you have worn teeth or gum recession, he can provide pre-treatments to teeth whitening to help you avoid the zingers that can come from generic options.

Convenient Touch-Ups

If you need a touch-up, we sell refills of your professional whitening gel right here in our dental office. This means you can eliminate stains and have a youthful smile anytime you want.

I would recommend everyone to see Dr. Hoang

I’ve been a patient of Dr. Michael Hoang for years. And I must say he’s an excellent dentist. He’s very thorough with his information concerning his patients. He’s very professional & takes time to explain everything to his patients. I really love the services Dr. Hoang provides for me. And I would recommend everyone to see Dr. Hoang. On top of everything, he’s very kind and very patient.
- Tara
 

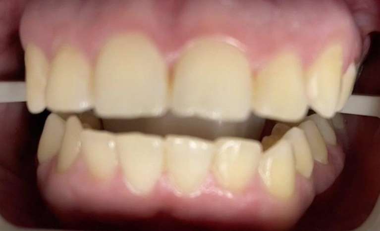
Why Do Teeth Discolor Over Time?

  • Food and Drink — Coffee, tea, red wine, and certain fruits and vegetables like blueberries and blackberries deposit stains on tooth enamel.
  • Tobacco Use — Smoking, vaping, or chewing tobacco causes ugly brown or yellow staining.
  • Aging — As you age, the outer layer of enamel starts to shrink, revealing the naturally yellow color of dentin beneath.
  • Medication — Certain medications can discolor teeth, as can chemotherapy and head and neck radiation.

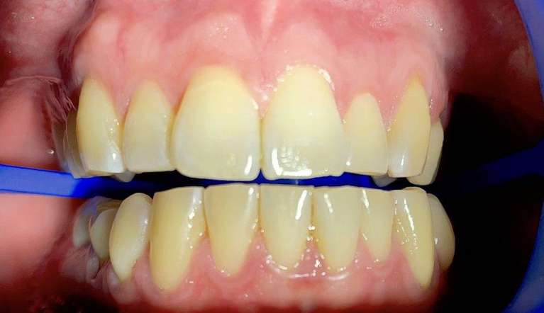
Is Teeth Whitening Safe?

Yes, teeth whitening is perfectly safe when performed by a dental professional like Dr. Mike. He uses prescription-strength gel, which is more effective and safer than over-the-counter products.

Instead of generic trays available with OTC kits, we provide custom trays made using impressions of your teeth to protect gums from irritation and ensure consistent and even results. We are just a phone call away if you experience a problem or don’t see the desired results!

Meet Our Dentist:

Dr. Michael Hoang DMD
Dentist

Dr. Michael Hoang received a Biological Sciences degree from the University of California, Irvine, and went on to earn a Doctor of Dental Medicine (DMD) degree from the Western University of Health Sciences, School of Dental Medicine. 

Following dental school, Dr. Mike completed a General Practice Residency at the Lutheran Medical Center in Los Angeles, where he honed his skills and deepened his knowledge of comprehensive dental care.

Since beginning his career in dentistry in 2015, Dr. Mike has been dedicated to transforming patients' perceptions of dental visits. He takes pride in ...

In-Office and Take-Home Teeth Whitening Options

Dr. Mike offers two types of professional whitening to suit different needs and preferences:

In-Office Laser Whitening with Zoom! Products — This option is ideal if you want to see fast results for an upcoming event like a wedding, reunion, or job interview. The treatment takes about an hour at our Hawthorne dental office, and the effects are immediate.

Custom Take-Home Bleaching Trays — Our custom take-home whitening kits are a convenient, cost-effective solution if you want more control over the process. You can adjust the level of whitening over time, which can lead to even better results as the whitening agent works cumulatively with each application.

Maintaining Your Bright Smile after Whitening

To keep your teeth looking their best after whitening, follow these steps:

  • Brush twice a day and floss regularly to maintain good oral hygiene.
  • Avoid foods and drinks that stain teeth; drink water to carry away staining particles if you do indulge.
  • Quit smoking, vaping, or using tobacco products.
  • Visit Dr. Mike for regular cleanings and checkups.
  • Consider a touch-up treatment every 6–12 months or as recommended.

Ready for Your Brightest Smile Yet?

Whether you have yellow teeth or tooth stains, Dr. Michael Hoang, DMD, is a leading teeth whitening dentist in Hawthorne, CA, who can help you achieve the dazzling smile you deserve. We also serve patients from El Segundo, Manhattan Beach, Hermosa Beach, Mar Vista, and Torrance.

Teeth Whitening Technology

Laser Whitening

Enjoy your whitest smile at Dr. Michael Hoang, DMD! Dr. Mike has chosen a system incorporating powerful teeth whitening gel with laser activation to bleach away tooth stains quickly and effectively. Depending on their level of staining, many patients can enjoy up to six shades whiter teeth.

If you are interested in a younger-looking, brighter smile, give us a call or talk to us at your next dental hygiene appointment to learn more.

Transform Your Smile with Teeth Whitening
Schedule a Cleaning
If you have difficulty using our website, please email us or call us at (310) 644-5097
View the ADA Accessibility Statement
Privacy Policy